COURONNE DENTAIRE
Tout ce que vous devez savoir sur les couronnes dentaires
Qu'est-ce qu'une couronne dentaire ? un sourire restauré et éclatant
Une couronne dentaire est une sorte de capuchon en céramique, en métal ou en composite qui recouvre entièrement une dent endommagée. Elle permet de redonner à la dent sa forme, sa taille et sa fonction initiale.
Pourquoi poser une couronne dentaire ?
- Pour protéger une dent fragilisée: Les couronnes sont idéales pour renforcer une dent affaiblie par une carie importante, une fracture ou un traitement endodontique (traitement des canaux).
- Pour améliorer l'esthétique: Une couronne peut masquer une décoloration tenace, une forme irrégulière ou une dent usée.
- Pour restaurer une dent cassée: Une couronne permet de reconstruire une dent cassée et de lui rendre sa fonction masticatoire.
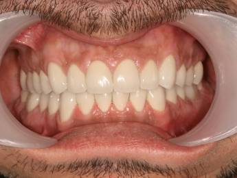
Avant et Après

La pose d'une couronne dentaire, étape par étape
- Anesthésie locale: Pour assurer votre confort tout au long de l'intervention, nous administrons une anesthésie locale.
- Préparation de la dent: Votre dentiste procède au fraisage de la dent afin de créer une base solide pour la couronne. Si nécessaire, un pivot en fibre de verre peut être inséré pour renforcer la structure de la dent.
- Prise d'empreinte: Une empreinte précise de votre dent préparée et des dents voisines est réalisée. Ces données permettent à notre prothésiste de confectionner une couronne parfaitement adaptée à votre bouche.
- Couronne temporaire: Pendant que votre couronne définitive est fabriquée en laboratoire, nous vous posons une couronne temporaire pour protéger votre dent et maintenir l'esthétique de votre sourire.
- Essayages et ajustements: Avant la pose définitive, plusieurs essayages sont prévus pour vérifier la couleur, la forme et l'ajustement de votre couronne. N'hésitez pas à nous faire part de vos remarques, nous souhaitons que vous soyez entièrement satisfait du résultat.
- Cimentation: Une fois que tous les ajustements ont été effectués, votre dentiste procède à la cimentation définitive de la couronne.
Grâce à ce protocole rigoureux, nous vous garantissons un résultat esthétique et fonctionnel optimal.
AVANTAGES DE LA COURONNE DENTAIRE
- Aspect esthétique: Les couronnes dentaires redonnent à votre sourire son éclat naturel. Fabriquées sur mesure, elles s'harmonisent parfaitement avec vos autres dents pour un résultat esthétique irréprochable.
- Résistance et durabilité: Conçues pour résister aux contraintes de la mastication, les couronnes dentaires offrent une durabilité exceptionnelle. Vous pourrez ainsi retrouver le plaisir de manger vos aliments préférés en toute confiance.
- Stabilité et confort: Fixées de manière permanente, les couronnes éliminent les inconvénients des prothèses amovibles. Vous retrouverez un confort en bouche et une confiance en soi au quotidien.
- Précision et personnalisation: Chaque couronne est fabriquée sur mesure à partir d'empreintes de précision. Cela garantit un ajustement parfait et un résultat naturel.
Pour plus d'informations ou pour avoir un devis personnalisé, contactez-nous !
quelques points à considérer
Bien que les couronnes dentaires offrent de nombreux avantages, il est important d'être conscient de leurs inconvénients.
- Préparation de la dent: La pose d'une couronne nécessite de limer une partie de la dent, ce qui est irréversible. Dans certains cas, cela peut entraîner une sensibilité accrue au chaud et au froid.
- Traitement de canal: Si la pulpe de la dent est exposée lors de la préparation, un traitement de canal peut être nécessaire. Ce traitement permet de sauver la dent mais nécessite une intervention supplémentaire.
- Coût: Les couronnes dentaires représentent un investissement financier important.
- Durée de vie: Bien que durables, les couronnes peuvent nécessiter un remplacement à long terme.
Il est essentiel d'en discuter avec votre dentiste pour évaluer les avantages et les inconvénients de cette solution par rapport à d'autres traitements possibles. Votre dentiste pourra vous proposer la solution la mieux adaptée à votre situation et répondre à toutes vos questions
Inscrivez-vous à une consultation préliminaire gratuite et sans engagement
COURONNES EN CÉRAMIQUE MÉTAL
La couronne céramo-métallique est composée de deux matériaux distincts : un alliage de métaux, lequel est utilisé pour réaliser la base (aussi appelée le « squelette » de la couronne) et la céramique, qui donne forme, quant à elle, à la prothèse principale.
La couronne céramo-métallique est très résistante, ce qui fait en sorte qu’elle possède une durée de vie très longue. Elle est privilégiée lorsque les conditions de l’intervention sont plus compliquées, et que les autres procédés de fabrication de couronnes ne conviennent pas. Elle est aussi généralement plus abordable que les autres sortes de couronnes.
Ce type de couronne présente toutefois l’inconvénient de laisser paraître, à mesure que la gencive s’use et se résorbe au fil du temps, la base métallique, ce qui est considéré comme inesthétique.
COURONNES EN ZIRCONIUM
Les couronnes en zircone sont plus légères que celles en céramo-métalliques mais jusqu’à 50% plus résistantes.
La zircone, utilisée en stomatologie, est absolument biocompatible avec l’organisme humain. Elle n’est pas un métal, et ne provoque aucun type d’allergie.
La couleur blanche de la zircone permet l’utilisation des couronnes pour une période plus longue. Avec les couronnes en zirconium on ne voit jamais le métal même si la gencive se retire ou un morceau de céramique tombe.
Les couronnes en zircone limitent l’adhérence de la plaque bactérienne.
L’oxyde de zirconium n’est pas transparent à la lumière par rapport à la ceramo-céramique; donc même les dents grises étant recouvertes puissent devenir très esthétiques.
La couronne en zircone possède également une faible conductivité thermique (car est dépourvue de métal) qui vous permet de manger des aliments chauds et froids sans avoir des sensations désagréables causées par la température.
COURONNES E-MAX ENTIÈREMENT EN CÉRAMIQUE
L’e-max est une céramique, ou plus précisément une vitrocéramique qui est utilisé pour la fabrication d’une prothèse dentaire. C’est une révolution en termes de prothèse dentaire du fait que cette dernière est totalement faite en céramique. En effet, les prothèses classiques sont fabriquées à partir d’une composition de métal et de céramique. Les avantages de ce type de matière sont multiples dont la première est sa composition 100% céramique. La couronne e-max permet à son porteur d’avoir une prothèse à l’esthétique proche d’une vraie dent grâce à l’absence de métal dans la composition. Il est presque impossible d’apercevoir chez la personne qui la porte la présence d’une prothèse. En effet, avec la couronne classique, c’est-à-dire celle en céramo-métallique, la base métallique doit être dissimulée derrière la gencive lors de la pose. Contrairement, bien qu’il faille encrer efficacement la base de la couronne, un e-max se masque plus aisément par rapport au métal. Ainsi, quand vient le moment de sourire, le patient n’aura aucun mal à afficher ses dents du fait que la prothèse est quasiment indécelable. L’un des avantages de l’e-max, c’est le fait que sa composition permet de faire passer la lumière contrairement au céramo-métallique qui favorise davantage l’aspect naturel de la fausse dent.







